Key takeaways:
You can’t see a cataract unless it’s very mature. The best way to know if you have a cataract is to get a comprehensive eye exam.
Symptoms of cataracts include blurred vision, glare, double vision in one eye, and halo around lights. Get an eye exam if you have any of these symptoms.
Cataract surgery can help restore vision but needs to be done at the right time. Your eye doctor can help you determine when is the best time for you to get surgery.
Cataracts are a common eye condition. Cataracts develop when the clear lens inside the eye turns cloudy. Cataracts often form as people get older.
Cataracts affect your vision, making it hard to see, drive, and complete everyday activities. But these vision changes can be mild at first.
You may be wondering how you can tell if you have a cataract. Here’s what cataracts “look like” and how you can tell if you should get medical care for a possible cataract.
Search and compare options
What are the different types of cataract?

The first thing to know about cataracts is that they’re not all the same. There are several different types of cataracts, which include:
Age-related nuclear cataract: This is the most common type of cataract. People develop these cataracts as they get older. Age-related nuclear cataracts develop in the center part of the lens.
Posterior subcapsular cataract: These cataracts develop in the back part of the lens. They can change rapidly and may need more immediate intervention. You’re more likely to develop this type of cataract if you have a history of diabetes or take steroid medications.
Cortical cataract: These cataracts develop at the edge of the lens. They are more likely to cause glare, making it hard to drive at night or see in low light.
Traumatic cataract: These cataracts develop anytime after an eye injury.
Radiation cataract: These cataracts develop after radiation treatment. People who receive head or neck radiation are more likely to develop radiation cataracts.
Congenital (pediatric) cataract: Congenital cataracts are present from birth or develop quickly afterwards. Babies can develop cataracts because of genetics, infections, or medical conditions. Infants can develop amblyopia if congenital cataracts aren’t treated quickly.
The type of cataract you have can determine how quickly you need cataract surgery. Some cataracts grow very slowly while others can progress more quickly.
You want to treat your cataract when it’s causing vision changes that interfere with your daily life. You may not need to remove a small or early cataract that isn’t affecting your vision.
But you don’t want to wait too long either. Very mature cataracts can be more difficult to remove. So it’s important to get regular eye exams and work with your eye doctor to determine when is the best time to have your cataracts removed.
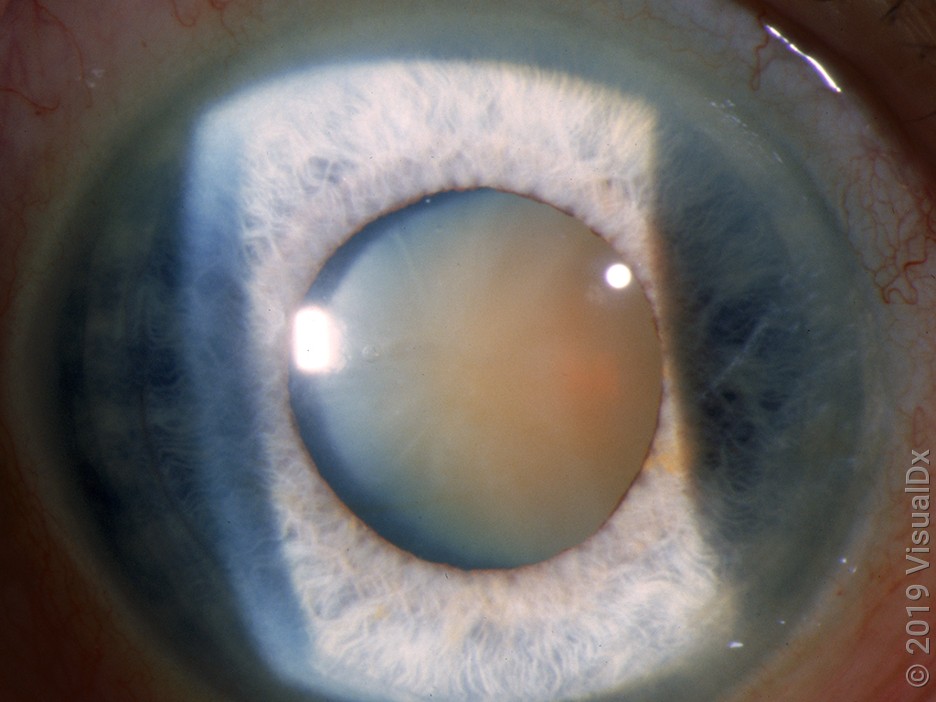
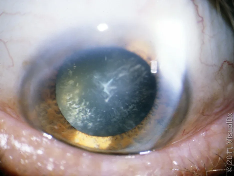
What do cataracts look like?
Most people cannot see their own cataracts. You won’t see a cataract when you look at yourself in the mirror unless you have a very mature cataract. Very mature cataracts can make the pupil (black part of the eye) look cloudy or hazy.
But very mature cataracts also cause significant vision changes. So people with very mature cataracts will have trouble seeing and may not be able to see their own cataracts due to these vision changes. The cataracts may be visible to other people.
Since cataracts aren’t readily visible, most people don’t know they have cataracts until they get an eye exam. An eye doctor can see a cataract using special instruments during a dilated eye exam. These instruments help an eye doctor tell what kind of cataract a person has and whether it’s mature or not. This information helps eye doctors determine if cataracts are causing a person’s vision problems.
Here are some examples of what cataracts look like during dilated eye exams:



What does it feel like to have a cataract?
Cataracts aren’t painful and shouldn’t cause any eye discomfort, irritation, or redness.
Cataracts affect your vision and can cause symptoms like:
Trouble seeing at night or in low light
Glare
Halos around light
Blurry or cloudy vision
Faded colors
Double vision as cataracts get bigger
Many people with cataracts struggle to drive at night due to glare from oncoming headlights. They also find themselves turning on more lights in order to see better.
People also need more support from their corrective lenses. Prescription lenses, like corrective glasses or contact lenses, may not seem to work as well as they once did. If you wear corrective lenses occasionally, you may find yourself wearing them more often if you have a cataract. People often get care to have their prescriptions adjusted and discover they have cataracts.
What can be mistaken for cataracts?
There are several other eye conditions that can cause vision changes, including:
It can be hard to know if your vision changes are from cataracts or another eye condition. Get care if you’re having new or worsening vision changes. Your eye doctor will be able to diagnose additional eye conditions during a dilated eye exam.
When are cataracts usually diagnosed?
Most people are diagnosed with cataracts later in life. People with certain medical conditions or eye conditions may be diagnosed with a cataract earlier in life.
You’re more likely to get diagnosed with a cataract if you are older than 60 years. And the chances go up as you get older. Nearly half of people over 80 years old have a cataract or had one removed in the past.
Getting a yearly eye exam is the best way to take care of your eye health as you get older. Routine eye exams can spot eye conditions, like cataracts, so you can get the right treatment and keep your vision clear.
How are cataracts treated?
Cataracts can be removed with surgery. During cataract surgery, an ophthalmologist removes the cloudy lens and replaces it with a clear, artificial lens. Cataract surgery can help restore vision. But you only need surgery once the cataract has started to affect your vision.
Cataracts that aren’t affecting vision can be monitored with regular eye exams. Your eye doctor can also offer you prescription lenses to help with any mild vision changes.
The bottom line
Cataracts can affect vision and tend to develop as people get older. Cataracts look like gray or white areas in the lens of the eye. But you cannot see your own cataract unless it’s very mature. Using special instruments, eye doctors can see these changes during dilated eye exams.
Cataract surgery can remove cataracts but needs to be done at the right time. You should have a yearly eye exam if you have a history of cataracts. This will help you know when it’s time to get cataract surgery.
Why trust our experts?


Images used with permission from VisualDx (www.visualdx.com).
References
National Eye Institute. (2024). Cataracts. National Institutes of Health.













