Key takeaways:
Cataracts turn the normally clear lens of the eye cloudy, which affects your vision.
Early signs of cataracts include trouble seeing at night, sensitivity to glare, and changes in color perception.
During cataract surgery, the cataract is removed, an artificial lens is placed, and vision is restored.
Cataracts form as you get older and affect your vision. People typically start developing cataracts when they’re in their 50s or 60s. But people can develop cataracts at younger ages, too.
Cataracts don’t appear overnight. They form over time. As they develop, they cause different symptoms. But many people don’t notice the early signs of cataracts. Here’s what to know about the different types of cataracts, early signs, and treatment options.
What are cataracts?

Cataracts affect your vision by clouding the lens of the eye.
Search and compare options
A cataract forms when proteins break down inside your eye’s natural lens. The lens of your eye is normally clear. Its job is to help focus light onto your retina, which transmits these signals to your brain so that you can see. When proteins start to break down in the lens, the lens goes from clear to cloudy. It’s harder for light to pass through a cloudy lens, which is why cataracts make it harder to see.
Types of cataracts
There are three types of cataracts:
Nuclear sclerotic cataracts: This cataract forms in the central part of the lens and grows very slowly. They affect your ability to see far away (distance vision).
Cortical cataracts: This cataract forms in the edge of the lens and grows toward the center. They also grow slowly.
Posterior subcapsular cataracts: This cataract forms in the back part of the lens. They tend to grow faster. People with diabetes or who take long-term steroid medications are more likely to develop these cataracts.
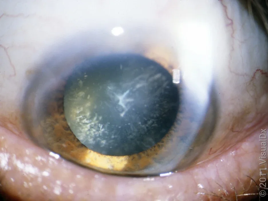
What do cataracts look like?
Cataracts usually aren’t visible when you look at yourself in the mirror. Mature cataracts may be visible, like in the first picture below. The pupil of the eye is normally black. If it starts to look white or cloudy, it may be a sign of a cataract. An optometrist or ophthalmologist can diagnose a cataract during an eye exam. They can see early and mature cataracts during an eye exam.



During an eye exam, your eyes will be dilated with drops in order to check for a cataract. Your eye doctor will look at your lens using special instruments such as a slit lamp microscope. If you have a cataract, it will look like yellow or white discoloration of your lens. Your eye doctor can tell what type of cataract you have during your eye exam and if it’s causing a visual disturbance.
What are the stages of cataracts?
Some cataracts grow slowly over years. But others grow more quickly. As they grow, they move through different stages. Each stage comes with different types of vision changes. Cataract stages include:
Early cataracts: Early cataracts are still small and usually aren’t ready to be removed. But protein breakdown in your lens is already starting to affect your vision at this stage. It becomes harder for your eyes to change focus, especially when going from looking at things closely to far away.
Immature cataract: During this stage, the lens is partially cloudy. People start noticing more obvious vision changes. They have trouble seeing things clearly, which get in the way of reading, watching TV, and distinguishing faces.
Mature cataract: At this stage, the lens becomes opaque. Light can no longer easily pass through the eye, and people aren’t able to see much at all. If a cataract isn’t treated at this stage, it can become a hypermature cataract. Hypermature cataracts are more difficult to remove and can cause increased pressure inside the eye, triggering glaucoma.
Preparing for cataract surgery? Here’s what you can expect before, during, and after cataract surgery.
Is cataract surgery expensive? Here’s how much cataract surgery costs with and without insurance coverage.
What should you know before getting a cataract removed? John Weiss, a media relations executive who had a cataract, shares his experience and insight with GoodRx.
Early signs and symptoms of cataracts
Cataracts can affect your vision in several ways. It can be tough to notice these changes at first because they come on gradually. But here are the most common signs of cataracts.
Trouble seeing in low light
People with cataracts have trouble seeing in dimmer light. You may find yourself turning on more lights in your home to help you see than you did in the past. You may also notice that you need to sit closer to a lamp or light when you do things like read or write.
Trouble seeing in low light often becomes obvious when you’re driving at night. Cataracts can lead to trouble driving at night because low light makes it harder to see as you’re driving.
Read more like this
Explore these related articles, suggested for readers like you.
Glare sensitivity
On the flip side, people can also experience discomfort when faced with bright light, especially when transitioning from dim settings. This is called glare sensitivity. Glare describes difficulty seeing in the presence of bright light. You may notice halos or discomfort when you go out into sunlight from an indoor space. Facing headlights from oncoming traffic may also make it difficult for you to see. Some people notice halos around lights when they are indoors.
Changes in color perception
People with early cataracts may notice changes in their perception of color. This can be very hard to notice at first, but it can get worse over time. You may notice that colors that once looked bright and vibrant now look faded or dull. You may also feel like everything has a yellow tinge.
Foggy vision
Cataracts cause changes in your visual acuity — or how sharp and clear objects, images, and letters look. But these changes develop slowly, so you might not pick up on them at first. What you might initially notice is that your prescription eyeglasses (including reading glasses) or contact lenses don’t seem to be working as well. If you’ve had the same prescription for a long time and it’s no longer working, it’s a good idea to see an eye doctor.
How do you treat cataracts?
Cataracts can be treated with surgery. During cataract surgery, an ophthalmologist removes the cloudy lens and replaces it with an artificial lens. Cataract surgery is a quick and safe surgery. Up to 99% of people report improved vision after cataract surgery.
When to get surgery is a big question. “Like Goldilocks, you should have your cataract surgery ‘not too early and not too late,’” said Dr. Alan Solinsky, an ophthalmologist with Hartford HealthCare. The right time is when the cataract “is interfering with your daily activities.”
Given the excellent record of cataract surgery, Solinsky said that “most people opt for cataract removal on the earlier side so they can obtain and enjoy perfect vision longer.” In addition, operating during the earlier stage makes it “easier and safer for their surgeons to remove their cataracts,” he said.
Frequently asked questions
You shouldn’t feel anything unusual if you have a cataract. Mature cataracts can create a specific type of glaucoma, which may cause eye pain. But most people with cataracts don’t experience eye pain.
There’s no way to fully prevent cataracts. But you can lower your risk of developing cataracts by not smoking and protecting your eyes from ultraviolet (UV) light exposure.
You shouldn’t feel anything unusual if you have a cataract. Mature cataracts can create a specific type of glaucoma, which may cause eye pain. But most people with cataracts don’t experience eye pain.
There’s no way to fully prevent cataracts. But you can lower your risk of developing cataracts by not smoking and protecting your eyes from ultraviolet (UV) light exposure.
The bottom line
Cataracts form when proteins start to break down in the lens of the eye. This causes the lens to go from clear to cloudy, which affects how the light enters the eye and impacts vision. Early on, cataracts can cause very subtle vision changes. These include trouble seeing in low light, glare sensitivity, and changes in color perception. If you notice these vision changes, talk with your eye doctor. They can see early cataracts on an eye exam and offer recommendations to help improve your vision.
Why trust our experts?



Images used with permission from VisualDx (www.visualdx.com).
References
Jolly, J. K., et al. (2022). The effect of cataract on color vision measurement with the low-vision Cambridge Colour Test: Providing an adjustment factor for clinical trials. Ophthalmology Science.
National Eye Institute. (2023). Cataracts. National Institutes of Health.
Nizami, A. A., et al. (2024). Cataract. StatPearls.
UCI Health. (2018). Cataract surgery: What you should know.
















