Key takeaways:
Cataracts form when proteins inside the lens of your eye break down.
The main causes of cataracts include aging, exposure to ultraviolet (UV) light, smoking, certain medications, and medical conditions.
Avoiding things that cause cataracts can keep your vision healthy. If you develop cataracts, surgery can remove them and help restore your vision.
Your eye is made up of different parts, and each plays an important role in your vision. The lens is the part of your eye that sits behind your iris (the colored part of your eye). It’s a clear structure that focuses light entering your eye, allowing your brain to process images.

As you get older, your lens also ages and can develop a cataract. Cataracts are the most common cause of vision loss but are treatable. Let’s take a look at why cataracts form and which of their causes you can avoid to keep your vision healthy.
How do cataracts form?
Cataracts form when proteins in your lens break down, causing the normally clear lens to become cloudy. This can happen in one or both eyes. Protein breakdown is a natural process that happens as you get older. This starts to happen after the age of 40.
Search and compare options
The older you are, the more likely you are to have cataracts because of ongoing protein breakdown. About 5% of people in their 50s have cataracts. More than half of people over 80 years old have cataracts.
Cataracts can also develop in younger people and children. You can also be born with cataracts. These are known as congenital cataracts, which are related to things like medical or genetic conditions.
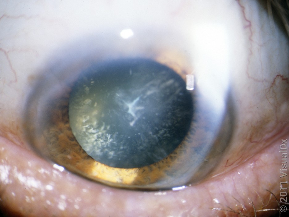
Images of cataracts



What causes cataracts?
Aging is the main cause of cataracts.
But other things can increase your chances of developing a cataract. Here are some of the other main causes of cataracts:
Medical conditions
Certain medical conditions and treatments can increase your risk of developing cataracts.
These include:
Diabetes (Types 1 and 2)
Human immunodeficiency virus (HIV) and/or acquired immunodeficiency syndrome (AIDS)
A history of eye inflammation
Radiation treatment on your upper body
How can you tell if you have a cataract? Learn the early signs of cataracts like trouble seeing at night and sensitivity to glare.
Is cataract surgery expensive? Here’s how much cataract surgery costs with and without insurance coverage.
What should you know before getting a cataract removed? John Weiss, a media relations executive who underwent cataract surgery, shares his experience and insight with GoodRx.
If you have one of these medical conditions, staying up to date with your treatment plan and getting yearly eye exams can help keep your vision healthy.
Genetics
Some types of cataracts, like congenital cataracts, are hereditary. These inherited conditions are caused by genes passed from one generation to the next. While cataracts that develop as you get older aren’t considered hereditary, your genes still play a role. Studies show that people are more likely to develop cataracts if a close relative has them.
If cataracts run in your family, consider getting an annual eye exam to catch cataracts and other vision problems early.
Read more like this
Explore these related articles, suggested for readers like you.
Medications
Two major types of medications can increase your risk of developing cataracts:
Steroids, which are used to treat many medical conditions
Phenothiazines, which are used to treat schizophrenia
Consider yearly eye exams if you’re taking one of these medications. Your eye doctor and healthcare team can work with you to determine if you should take a break from these medications or try another option. Don’t stop taking medications without first talking with your healthcare team.
Smoking
People who smoke are two to three times more likely to develop cataracts than those who don’t smoke. This is likely due to free radical damage and inflammation.
But studies have shown that quitting smoking can lower your risk compared to those who continue to smoke. Tools like nicotine replacement therapy and prescription medications can help you stop smoking.
UV light exposure
You may already know UV rays from sunlight can cause skin damage and increase your risk of developing skin cancer. But did you know that UV light can cause similar damage to your lens and increase your risk for cataracts? UV light directly damages protein inside your lens, which can lead to cataracts.
Protect your eyes from UV light damage by wearing sunglasses with UV light protection whenever you’re outdoors.
Eye injury
Eye injuries increase your risk of developing cataracts. Eye injuries include penetrating injuries (when something goes into your eye) and blunt injuries (when something hits your eye). Studies estimate that 2 out of every 3 people with an eye injury will develop a cataract as a result. These may develop right after the injury or years later.
To reduce your risk, always wear appropriate eye protection during work, sports, or any activities that could result in an eye injury.
What are the symptoms of cataracts?
Cataracts usually develop gradually, so you may not notice any symptoms at first. Over time, they cause vision changes that become more obvious.
Common symptoms of cataracts include:
Blurred vision
Cloudy vision, similar to looking through a frosted or dirty window
Halos or glare around light
Impaired night vision
Faded colors
Trouble with depth perception
These vision changes can make everyday activities — like reading, working on a computer, or driving, especially at night — more difficult. If you wear glasses or contact lenses, you’ll notice that they might not be helping your vision as much anymore.
What are the different types of cataracts?
There are three types of cataracts:
Nuclear sclerotic cataracts: This type of cataract forms in the central part of your lens and affects distance vision more than near vision. They grow very slowly.
Cortical cataracts: This type of cataract starts at the edge of your lens and grows toward the center. They also grow slowly.
Posterior subcapsular cataracts: This type of cataract forms in the back of your lens. They tend to grow faster and cause severe glare in bright sunlight or from vehicle headlights.
How do you know if you have cataracts?
An eye exam is the best way to figure out if you have cataracts.
You can’t see cataracts by looking in the mirror unless they’re very advanced (mature). Most people notice vision changes caused by cataracts long before they reach this stage.
When should you see an eye doctor for symptoms of cataracts?
If you’re having trouble with your vision, you should see an eye doctor and have an eye exam.
If you have cataracts, your eye doctor will offer you glasses or contact lenses to help with your vision. They may also suggest using brighter lighting in your home to help you see or recommend an anti-glare coating for your glasses.
If you have cataracts, your eye doctor will ask you to return for checkups once or twice a year. If your glasses or contact lenses no longer help your vision, they may recommend that you have surgery to remove your cataracts.
How can you prevent cataracts as you get older?
Although cataracts are a normal part of aging, there are still things that you can do to protect your vision. Avoiding risk factors for cataracts can help delay their development as you get older. Here are some things you can do to protect your eyes:
Stop smoking: Smoking cigarettes increases your risk of developing cataracts, so it’s best to quit smoking to protect your eye health.
Protect your eyes from UV light: Wear sunglasses with UV light protection or a wide-brimmed hat when you’re outside.
Eat a diet rich in leafy green vegetables: There’s some evidence that people who eat a diet high in leafy greens have fewer cataracts.
The bottom line
Cataracts are a common cause of decreased vision, and they affect each person differently. You’re more likely to develop cataracts as you get older. Avoid smoking and protect your eyes from sunlight to keep your vision healthy. Get an annual eye exam if you have a medical condition that can increase your risk of developing cataracts or if you have a history of an eye injury.
Why trust our experts?


Images used with permission from VisualDx (www.visualdx.com).
References
American Academy of Ophthalmology. (2016). Cataract in the adult eye preferred practice pattern.
American Academy of Ophthalmology. (2016). Lens.
Cumming, R. G., et al. (1998). Medications and cataract. Ophthalmology.
James, E. R. (2007). The etiology of steroid cataract. Journal of Ocular Pharmacology and Therapeutics.
Mares, J. A., et al. (2010). Healthy diets and the subsequent prevalence of nuclear cataract in women. Archives of Ophthalmology.
McCarty, C. A., et al. (2001). The genetics of cataract. Investigative Ophthalmology and Visual Science.
National Eye Institute. (2014). New research sheds light on how UV rays may contribute to cataract. National Institutes of Health.
National Eye Institute. (2020). Cataract tables. National Institutes of Health.
National Eye Institute. (2024). Cataracts. National Institutes of Health.
Okoye, G. S., et al. (2023). Traumatic cataract. StatPearls.
Shiels, A., et al. (2007). Genetic origins of cataract. JAMA Ophthalmology.
Shiels, A., et al. (2021). Inherited cataracts: Genetic mechanisms and pathways new and old. Experimental Eye Research.
U.S. Food and Drug Administration. (2022). How smoking can contribute to vision loss and blindness.
















