Key takeaways:
Chickenpox is a contagious viral infection that causes fever, body aches, and a widespread itchy rash.
Chickenpox spots go through three stages, from bumps, to blisters, and finally scabs and crusts.
Mosquito, flea, and bedbug bites can all look like the early stage of chickenpox. But where they happen on the body and how they spread can help tell them apart.
Getting itchy bumps on your skin is never fun. And there are lots of things that can lead to a rash and make your skin itch. So how do you answer the burning question of where those bumps came from?
Parents often find themselves wondering whether their child is dealing with bug bites versus chickenpox. After all, bug bites are pretty common, and many kids get chickenpox, too (though it’s less common these days, thanks to the chickenpox vaccine). But it’s not just kids. Adults can also get chickenpox, not to mention bug bites.
No matter your age, we’ve got you covered with tips to get to the bottom of what type of bite or rash is covering your skin. Here, we’ll take a closer look at the differences between chickenpox and common bug bites, including what they look like, how they spread, and how to treat them.
Chickenpox (varicella) spread and symptoms
Chickenpox (varicella) is a highly contagious illness caused by the varicella-zoster virus (VZV). It spreads through close contact with someone who has the virus and by touching contaminated items, like clothing. This can happen when you directly touch the blisters or come into contact with respiratory droplets when someone with the virus coughs or sneezes.
The first symptoms of chickenpox usually include a low-grade fever and achy muscles. Other common symptoms include:
Nausea
Decreased appetite
Headache
Fatigue (feeling tired)
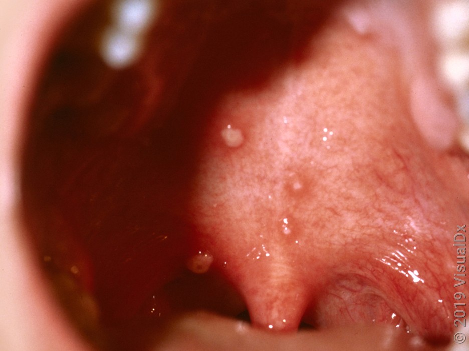
Sores in the mouth
Some people get a cough as well. More infamously, chickenpox also causes an itchy, widespread rash (more on that below). In children, the rash may be the initial sign of chickenpox. In adolescents and adults, the rash usually appears after the initial symptoms.
Stages of chickenpox (with images)
The chickenpox rash typically goes through three different stages. The rash usually starts as small, flat spots or bumps on the:
Face
Scalp
Torso
Upper arms and legs
In fair skin tones, these are usually pink or red. In darker skin tones, they can be violet, brown, or skin-colored. Over the next few days, the spots change into blisters, then scabs and crusts.
As the rash progresses, new spots continue to show up anywhere on the skin (including inside the mouth). People with chickenpox can have hundreds of spots at a time — all in different stages.
The rash is very itchy, so people often scratch the spots. After about 1 week, all the spots crust over and start healing.
Read more like this
Explore these related articles, suggested for readers like you.
Here are pictures of the different chickenpox stages on different skin tones.
1. Spots and bumps
The first stage of chickenpox includes small, flat spots and raised bumps. They may be mixed with bumps in other stages.


2. Blisters
In the second stage, chickenpox spots turn into small blisters. Most of these are filled with clear fluid (called vesicles), but sometimes they can have cloudy fluid (called pustules). Blisters can be surrounded by red or violet skin.


3. Crusts and scabs
In the final stage, the chickenpox blisters rupture, and form crusts and scabs as they heal.


Bug bites commonly confused as chickenpox
Sometimes bug bites can be confused with the early stages of chickenpox. Bug bites that may look like the start of chickenpox include:
In the table below we’ll review the main differences between these common bug bites and chickenpox.
Images of bug bites that look like chickenpox
Here are some pictures of common bug bites on different skin tones to help you see how they look different from chickenpox.
Mosquito bites
Mosquito bites usually form smooth, itchy bumps. On dark skin tones, the bites tend to look violet, brown, or the color of your skin. On fair skin tones, they usually look pink or red.
Mosquitoes can get through some types of fabric, but usually they bite on uncovered skin, like your arms and legs. Sometimes mosquito bites can form blisters.


Flea bites
Flea bites usually form small, smooth bumps that are itchy. On fair skin, they can look pink or red. On darker skin tones, they tend to look violet, brown, or skin-colored.
Fleas jump from the ground to bite. So the bites tend to show up in clusters around the ankles and lower legs, or another body part close to the ground (like the waist in a child who sits a lot).


Bedbug bites
Bedbug bites usually form smooth, itchy bumps. On lighter skin tones, they’re pink or red in color. On darker skin tones, they tend to look violet, brown, or the color of your skin. They’re usually on uncovered skin (like the neck, arms, and legs) and often happen in a line or zigzag pattern.


Key differences between chickenpox and bug bites
To help you tell the difference between chickenpox and bug bites, it helps to pay attention to some key features. The table below includes an overview of what these different bumps and bites look like, where they show up, and how long they last (scroll right to view the full chart).
| Chickenpox | Mosquito bites | Flea bites | Bedbug bites | |
|---|---|---|---|---|
| Spread and location |
|
|
|
|
| Number of spots |
|
|
|
|
| Symptoms |
|
|
|
|
| What it looks like |
|
|
|
|
| How long it lasts |
|
|
|
|
| Treatment |
|
|
|
|
When to get help
Most people with chickenpox don’t need any medical treatment and can manage symptoms at home. But you may benefit from antiviral medications if you have a higher risk of complications, like pneumonia. It’s a good idea to see a healthcare professional for chickenpox if you:
Have a chronic lung or skin condition
Have a weakened immune system
Are pregnant
Are older than 12 years
Most people can safely manage symptoms from mosquito, flea, and bedbug bites at home with over-the-counter (OTC) medications. Getting rid of the cause of bites is important to prevent them from happening. If you’re not sure what’s causing your bites, or if they’re not going away, it’s a good idea to visit a healthcare professional.
The bottom line
Chickenpox (varicella) is a contagious viral infection that can cause fever, body aches, and a widespread, itchy rash all over the skin. Chickenpox spots go through three stages, from bumps, to blisters, and finally scabs and crusts.
Some common bug bites — like those from mosquitoes, fleas, and bedbugs — can look similar to the early stages of chickenpox. You can usually tell the difference by paying attention to where the bites appear and how they spread. Mosquito and bedbug bites usually happen on uncovered skin, while flea bites are most common around the ankles and lower legs. If you’re not sure what’s causing your itchy bites, visit a healthcare professional for guidance.
Why trust our experts?



Images used with permission from VisualDx (www.visualdx.com).
References
American Academy of Dermatology Association. (n.d.). Bedbugs: Diagnosis and treatment.
Ayoade, F., et al. (2022). Varicella-zoster virus (chickenpox). StatPearls.
Centers for Disease Control and Prevention. (2024). About chickenpox.
Centers for Disease Control and Prevention. (2024). Chickenpox symptoms and complications.
Centers for Disease Control and Prevention. (2024). How to treat chickenpox.
Centers for Disease Control and Prevention. (2024). Getting rid of fleas.
Centers for Disease Control and Prevention. (2024). Press kit: Mosquitoes.
Dooling, K., et al. (2022). Clinical manifestations of varicella: Disease is largely forgotten, but it's not gone. The Journal of Infectious Diseases.
New York State Department of Health. (2014). Chickenpox (varicella zoster infection).














