Key takeaways:
Hand, foot, and mouth disease (HFMD) and chickenpox are both contagious viruses that can cause a fever and a rash with blisters.
The rash in HFMD usually develops in the mouth and on the palms and soles. In chickenpox, the rash is more common on the torso, arms, and legs.
Chickenpox is more likely to cause complications in people who are pregnant or have a weakened immune system.
The chickenpox vaccine is highly effective in preventing chickenpox. There’s no vaccine for HFMD.
Chickenpox (varicella) and hand, foot, and mouth disease (HFMD) are two contagious viruses that can cause fever, sores in the mouth, and blisters on the skin. While these illnesses can appear similar, they can have different complications. Knowing how to tell them apart is important. Here, we’ll compare these two viruses, including how the symptoms and rashes develop.
Hand, foot, and mouth disease
Hand, foot, and mouth disease (HFMD) is a contagious viral infection that usually affects children younger than 5 years. Several different viruses can cause HFMD, but coxsackievirus A16 and enterovirus A71 are the most common ones. All the viruses that cause HFMD are very contagious and spread through contact with:
Respiratory droplets (like from a sneeze or cough)
Contaminated objects (like toys or a door handle)
Fluid from the skin blisters
Poop (like when changing a diaper)
Symptoms of hand, foot, and mouth disease
Most people with HFMD have mild symptoms over 7 to 10 days and then recover. The first symptoms usually include:
Low-grade fever
Runny nose
Decreased appetite
Tiredness
Sore throat or mouth pain
Rash from hand, foot, and mouth disease
After the initial symptoms, a characteristic rash appears, forming sores and blisters in the mouth and on the skin. Here’s how the rash typically develops:
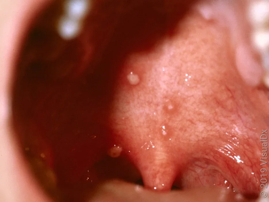
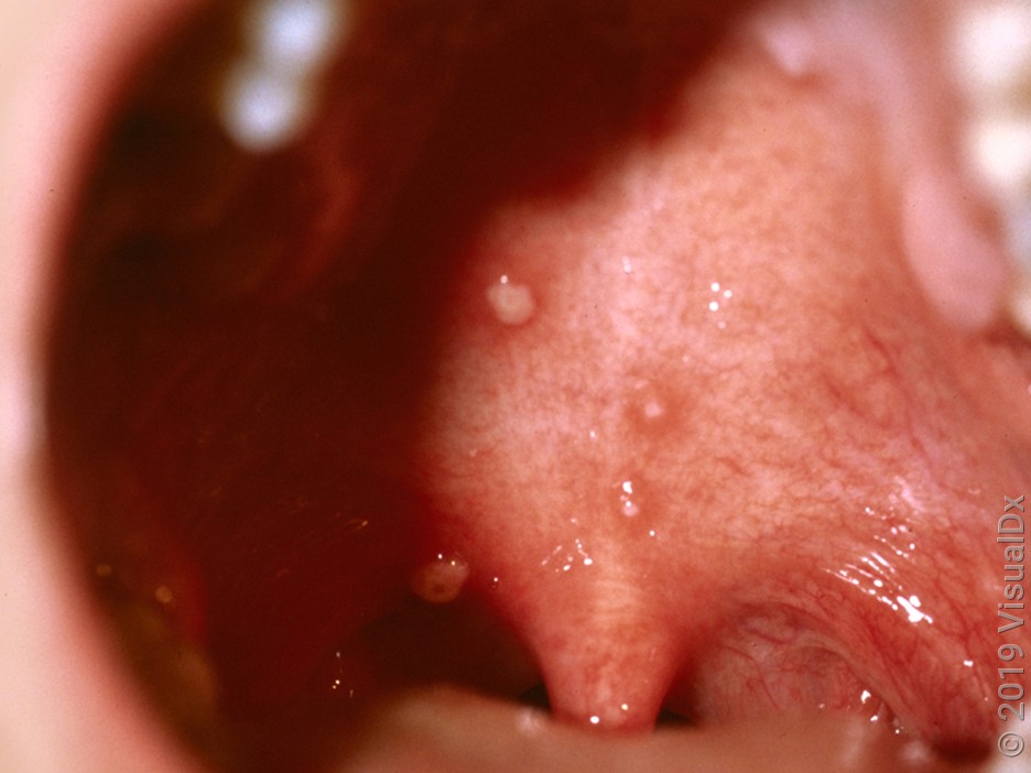
Painful blisters and sores form in the mouth, on the tongue, inside the cheeks, and on the roof of the mouth.
Small round spots, bumps, and blisters appear most commonly on the palms, soles, and around the mouth. They can also be on the buttocks, knees, and elbows. The spots can be pink (in fair skin) or violet and skin-colored (in darker skin).
Blisters on the skin eventually rupture and form crusts before healing.
Complications from hand, foot, and mouth disease
Most people recover from HFMD without any problems. In rare situations, more serious complications can occur, like:
Pneumonia
Heart inflammation (myocarditis)
Fluid in the lungs
Meningitis
Pictures of hand, foot, and mouth disease
These pictures of the rash caused by hand, foot, and mouth disease can help you know what it looks like, and how it presents in different parts of the body and various skin tones.




Chickenpox
Chickenpox, also called varicella, is an infection caused by the varicella-zoster virus. It’s highly contagious, and can spread through contact with:
Respiratory droplets, like from a cough or sneeze
Contaminated objects, like clothing
Saliva
Fluid from the skin blisters
You can prevent chickenpox with a vaccine, which you usually get as a series of two doses during childhood. But, adults can get the vaccine, too, if they’ve never been vaccinated or had chickenpox before.
Chickenpox symptoms
The first symptoms of chickenpox can include a low-grade fever and feeling tired or weak. Other symptoms may include:
Achy muscles
Decreased appetite
Nausea
Headache
Read more like this
Explore these related articles, suggested for readers like you.
In adolescents and adults, the chickenpox rash usually appears soon after the initial symptoms. But in children, the rash may be the initial sign of chickenpox.
Chickenpox rash
In some people, the first signs of the chickenpox rash are small, painful, and itchy sores in the mouth. The rash will then typically develop on the skin in this way:
Small, red, violet, or brown dots appear on the face, scalp, trunk, and upper arms and legs.
Over 10 to 12 hours, these spots develop into small bumps, clear blisters, and then pus-filled bumps (called pustules).
The rash becomes very itchy once blisters form.
Eventually, the pus bumps break open and crust over.
People can have hundreds of spots on their body at once. It’s also common for the spots to crop up at different times over the course of several days. So you can have spots in different stages (for example, flat dots and pus bumps at the same time).
Chickenpox complications
In general, healthy people will recover from chickenpox without any problems. People who are pregnant or who have a weakened immune system are at risk of developing health complications, including:
Dehydration
Brain swelling (encephalitis)
Bleeding problems
Bacterial infections in the skin
If you’ve had chickenpox, you may also develop shingles in the future. They’re both caused by the same virus. Once chickenpox heals, the virus stays inactive in your nervous system for years. At some point (like with stress) it can reactivate and cause a painful shingles rash. The shingles vaccine can help prevent this outbreak from happening.
Pictures of chickenpox
Here are some pictures of the chickenpox rash to help you know what it looks like at different stages.




Comparing chickenpox and hand, foot, and mouth disease
This chart summarizes some of the differences and similarities between these two viruses.
Hand, foot, and mouth disease (HFMD) | Chickenpox (varicella) | |
|---|---|---|
How it spreads | • Respiratory droplets | • Respiratory droplets |
Contagiousness | Very high | Very high |
Common symptoms | • Low-grade fever | • Low-grade fever |
Rash | • Usually develops after initial symptoms | • May be the first sign of illness in children |
Prognosis | Usually mild illness | • Milder illness in healthy children |
Complications | Very rare | • Rare |
Treatment | • Hydration | • Antiviral medication |
Prevention | None | Chickenpox vaccine |
Cases in the U.S. | Common | Pretty rare |
Treating chickenpox and HFMD
Treating both viruses involves hydration, rest, and treating a fever or pain with acetaminophen or ibuprofen.
For chickenpox, antiviral medication (like acyclovir) is also available. This is recommended in people who are more likely to develop a more serious illness, like people who are pregnant or have a weakened immune system.
Frequently asked questions
Yes, it’s possible to have HFMD and chickenpox at the same time. However, it’s probably pretty uncommon for that to happen.
Yes, adults can get HFMD, but it’s not nearly as common. This is because many adults are already immune to the viruses that cause HFMD. When they do get it, adults usually have milder symptoms.
HFMD can be contagious for several weeks, but the risk of transmission is highest during the first week of the illness. In general, people can return to work or school when the fever has been gone for 24 hours and the blisters have scabbed over.
Chickenpox is contagious for 1 to 2 days before the rash begins until the skin spots have healed. So, you or your child should stay home until all of the chickenpox sores have crusted over.
Yes, it’s possible to have HFMD and chickenpox at the same time. However, it’s probably pretty uncommon for that to happen.
Yes, adults can get HFMD, but it’s not nearly as common. This is because many adults are already immune to the viruses that cause HFMD. When they do get it, adults usually have milder symptoms.
HFMD can be contagious for several weeks, but the risk of transmission is highest during the first week of the illness. In general, people can return to work or school when the fever has been gone for 24 hours and the blisters have scabbed over.
Chickenpox is contagious for 1 to 2 days before the rash begins until the skin spots have healed. So, you or your child should stay home until all of the chickenpox sores have crusted over.
The bottom line
Hand, foot, and mouth disease (HFMD) and chickenpox both can cause a fever, blistering rash, and sores in the mouth. But, the HFMD rash is more likely on the palms and soles, and the chickenpox rash is more likely to be on the body, arms, and legs.
The chickenpox vaccine is highly effective in preventing the illness from developing, but there’s no vaccine for HFMD. People who are pregnant or have a weakened immune system are more likely to develop complications from chickenpox (like pneumonia), in which case antivirals are recommended. Complications from HFMD are much more rare.
Why trust our experts?


Images used with permission from VisualDx (www.visualdx.com).
References
Ayoade, F., et al. (2022). Varicella-zoster virus (chickenpox). StatPearls.
Centers for Disease Control and Prevention. (2024). About chickenpox.
Centers for Disease Control and Prevention. (2024). Chickenpox symptoms and complications.
Centers for Disease Control and Prevention. (2024). How to treat chickenpox.
Guerra, A. M., et al. (2023). Hand, foot, and mouth disease. StatPearls.
Na, S. Y., et al. (2009). A case of varicella combined with hand-foot-mouth disease in a healthy child. Annals of Dermatology.
New York State Department of Health. (2014). Chickenpox (varicella zoster infection).
Yee, E. (2024). Hand, foot and mouth disease: CDC Yellow Book 2024. Centers for Disease Control and Prevention.
Zhu, P., et al. (2023). Current status of hand-foot-and-mouth disease. Journal of Biomedical Science.















