Key takeaways:
Canker sores are painful sores that develop anywhere on the inside of your mouth.
Most canker sores go away on their own within 2 weeks, but larger ones can take longer.
Home remedies and over-the-counter treatments can help reduce your pain.
There are some medications that may help more severe canker sores heal faster.
If you’ve ever had a painful sore in your mouth, chances are you’ve had a canker sore. These sores can occur anywhere inside your mouth and can make it painful to eat and even talk.
Read on to learn how long canker sores last, what they look like (with pictures), and what you can do to ease the pain.
What are canker sores?
Canker sores are small, painful sores that can develop on the inside of your mouth. Also called aphthous ulcers, they can develop on any surface of your mouth, including:
Inner lips
Tongue
Gums
Cheeks
Roof of the mouth
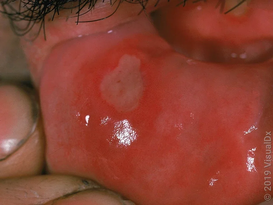
A canker sore looks like a pale or white circle with a red ring around it. It may turn greyish as it heals. It’s usually small, ranging in size from a pin head to a pencil top eraser. Canker sores usually arise alone but can sometimes occur in a group. In rare cases, canker sores can be very large or deep (10 mm or nearly ½ inch)
They are painful and can cause a burning or stinging sensation, especially when they come in contact with food or even your tongue.
Canker sores aren’t contagious.
What canker sores look like
Here are some pictures of canker sores in different locations.




How long do canker sores last?
For most people, canker sores go away on their own in about 1 to 2 weeks. Bigger canker sores may take longer to heal, up to 5 weeks, or more. But large canker sores aren’t common unless you have an underlying medical condition that can cause them (more on that below).
What are the stages of a canker sore?
A developing canker sore usually follows these stages:
Prodromal (early) stage: You may notice a tingling or burning sensation in the mouth for 1 to 3 days before the sore develops. Not everyone notices this stage.
Ulcer stage: A red bump turns into an open sore. The first 3 or 4 days of this stage are usually the most painful, but you may have an open sore for about 1 week.
Healing stage: The sore gets smaller and less painful. This stage usually takes a few days.
Foods to avoid with canker sores: Certain foods can make canker sores more painful, and some can soothe them.
Cold sore vs. canker sore: How do you tell the difference between a cold sore and a canker sore — and which is contagious?
Is it herpes? Learn the difference between herpes simplex 1 (cold sores) and herpes simplex 2?
What is the fastest way to heal a canker sore?
Canker sores usually heal on their own in about 1 to 2 weeks. But, there are some home remedies and over-the-counter (OTC) treatments that can help them heal faster and reduce the pain.
Treatments that lessen pain
These topical treatments can help lessen pain:
Topical anesthetic: This works by numbing the sore. You apply it directly on canker sores or use it as a rinse and spit it out. One example is benzocaine (Oragel).
Coating agent: This adds a soothing coat over the sore. You can combine liquid diphenhydramine (Benadryl) and magnesium hydroxide (Milk of Magnesia) in equal amounts. Swish a teaspoon in your mouth for a minute and then spit it out.
Lozenge: Dyclonine lozenges (Sucrets) also numbs your mouth. You dissolve the lozenge slowly in the mouth.
Treatments that may heal canker sores faster
There are some treatments that may help canker sores heal. Many of these will also help lessen pain.
Hyaluronic acid: Hyaluronic acid gel protects and hydrates the skin, and also has antioxidant effects. It’s applied directly to the sores.
Honey: Honey has antibacterial and anti-inflammatory properties. Apply it directly to the canker sores 4 to 5 times a day.
Saltwater rinses: Rinse your mouth with a teaspoon of salt mixed in a cup of water. This can help promote wound healing in your mouth.
If canker sores are large, very painful, or you have many at once, prescription-strength medications may be needed. Some treatments include:
Numbing agents: Viscous lidocaine can numb the area to reduce pain.
Oral disinfectant: Chlorhexidine gel can be applied directly to the sores to help prevent secondary infection.
Topical steroids: Steroids like triamcinolone paste, dexamethasone elixir, and clobetasol gel or ointment help lower inflammation. Depending on the formulation, these can be applied directly to the sores or used as a rinse.
Sucralfate suspension: This is a coating agent that you swish and spit.
What foods to avoid when you have a canker sore
Any eating can be painful with canker sores. But certain foods may sting or irritate the canker sores more. Try to avoid these foods when the canker sore is in the most painful stages:
Hard foods like breads, crackers, and pretzels
Acidic foods like salad dressings or citrus juices
Spicy foods
Salty foods like potato chips or ramen
Hot foods (let it cool off before eating)
Carbonated drinks
Alcohol
What triggers a canker sore?
Most of the time, it’s not clear what causes canker sores. They seem to run in families so some people may be more prone to get them.
Some people find that certain situations seem to trigger them, for example:
Smoking
Hormonal changes
Injury inside the mouth (like from biting your cheek or having dental work)
Toothpaste with sodium lauryl sulfate
If you get them frequently, they may be a sign of a nutritional deficiency or a symptom of an underlying medical condition. These include:
Lupus
Low vitamin B12
What can be mistaken for a canker sore?
Canker sores can sometimes be mistaken for cold sores. Cold sores also cause painful sores in the mouth, but they’re not the same thing.
There are some key differences between canker sores and cold sores:
Canker sores are usually a white or pale rounded sore with a red border.
Cold sores are fluid-filled blisters on a red or dark base.
Cold sores can break open and crust, and may occur in groups.
Cold sores are caused by the herpes simplex virus (HSV).
Cold sores are contagious while canker sores aren’t.
Some other conditions can cause mouth sores that can look like canker sores. But these are much less common:
Lichen planus (a skin rash that can affect the mouth)
Leukoplakia (white patches caused by smoking and other causes)
When should you see a professional about canker sores?
Some canker sores may need to be seen and treated by a healthcare professional. They can help diagnose any underlying medical condition. And they can prescribe stronger treatments for the pain and to help them heal faster.
Get medical care if you notice any of these symptoms:
The canker sore lasts more than 2 weeks.
You’re having a hard time eating or drinking.
You have a fever, fatigue, or other bodywide symptoms.
The canker sore is very large or deep.
You get repeated canker sores.
Frequently asked questions
No, canker sores aren’t caused by poor hygiene. But some parts of your oral hygiene routine can trigger canker sores. For example, brushing too hard can damage the lining inside your mouth and lead to a canker sore.
You shouldn’t put salt directly on a canker sore because it can be painful and cause irritation. Instead, use a diluted saltwater rinse (1 tsp of salt in 1 cup of water) to help the sore heal.
No, canker sores aren’t caused by poor hygiene. But some parts of your oral hygiene routine can trigger canker sores. For example, brushing too hard can damage the lining inside your mouth and lead to a canker sore.
You shouldn’t put salt directly on a canker sore because it can be painful and cause irritation. Instead, use a diluted saltwater rinse (1 tsp of salt in 1 cup of water) to help the sore heal.
The bottom line
Canker sores are painful sores that develop inside the mouth. Most canker sores heal on their own within 1 to 2 weeks, but larger ones may take longer. You can get some relief from home remedies and OTC treatments, such as topical anesthetics, Milk of Magnesia, honey, and saltwater rinses. For larger or more painful canker sores, prescription-strength medications may be needed.
Why trust our experts?



Images used with permission from VisualDx (www.visualdx.com).
References
Al-Maweri, S. A., et al. (2021). Efficacy of hyaluronic acid for recurrent aphthous stomatitis: a systematic review of clinical trials. Clinical Oral Investigations.
American Academy of Family Physicians. (2000). Canker sores – what are they and what can you do about them? American Family Physician.
Chen, J., et al. (2023). Lichen planus. DermNet.
Huynh, N. C., et al. (2016). Rinsing with saline promotes human gingival fibroblast wound healing in vitro. PLoS One.
InformedHealth.org. (2022). Canker sores (mouth ulcers): Learn More – what can you do if you have a canker sore? Institute for Quality and Efficiency in Health Care.
InformedHealth.org. (2022). Overview: Canker sores (mouth ulcers). Institute for Quality and Efficiency in Health Care.
MyHealth.Alberta.ca. (2023). Canker sores: Condition basics.
National Health Service. (2024). Leukoplakia.
National Institute of Dental and Craniofacial Research. (2024). Fever blisters & canker sores.
National Institute of Dental and Craniofacial Research. (2024). Oral cancer.
Plewa, M. C., et al. (2023). Recurrent aphthous stomatitis. StatPearls.
Preeti, L., et al. (2011). Recurrent aphthous stomatitis. Journal of Oral and Maxillofacial Pathology.
Shim, Y. J., et al. (2012). Effect of sodium lauryl sulfate on recurrent aphthous stomatitis: a randomized controlled clinical trial. Oral Diseases.
Suresh, R., et al. (2017). Honey for recurrent minor aphthous ulcers; foundations for an online initiative. Practical Dermatology.






